Клиника урологии имени Р. М. Фронштейна Первого Московского Государственного Медицинского Университета имени И.М. Сеченова предлагает быстрое и эффективное удаление опухоли мочевого пузыря с помощью современных методов. Обеспечим полную диагностику, подтверждение диагноза, консультацию опытного врача и профессиональную операцию, которая поможет полностью избавиться от опухоли мочевого пузыря.
ТУР (трансуретральная резекция) мочевого пузыря — особенности и преимущества
При обнаружении рака мочевого пузыря в качестве основного метода лечения, как правило, выбирается ТУР. Трансуретральная резекция — это хирургическое вмешательство, которое проводится с помощью специального оборудования — резектоскопа. Резектоскоп вводится в мочевой пузырь без дополнительных разрезов через отверстие уретры. Аппарат снабжен специальной петлей, с помощью которой можно полностью удалить новообразование вместе с основанием.
ТУР опухоли мочевого пузыря назначается, если обнаружено злокачественное образование. Как правило, такой рак находят на начальных этапах, когда он еще не дал метастаз, потому что у него заметные и болезненные проявления — болезненные спазмы внизу живота и нарушение мочеиспускания. Резекция опухоли с помощью резектоскопа считается щадящим методом хирургического воздействия, но при этом такая операция дает возможность удалить все зараженные ткани мочевого пузыря. Однако пациентам все равно нужно продолжать наблюдаться у врача, чтобы исключить повторные случаи появления рака.
Преимущества ТУР по сравнению с другими методами
Трансуретральная резекция опухоли мочевого пузыря считается одним из наиболее современных и эффективных способов лечения. Операция позволяет не только провести удаление, но и поставить максимально точный диагноз: установить степень патологического процесса, определить клинический прогноз, выявить локализацию новообразования. По сравнению с другими методами у ТУР есть такие преимущества:
- проводится через уретру, что значительно снижает риск травмы для пациента;
- обычно требуется меньше времени для восстановления, что позволяет пациенту быстрее вернуться к обычной жизни;
- связана с меньшим риском кровопотери;
- позволяет взятие образцов тканей для биопсии, что помогает в диагностике и определении характера опухоли;
- параллельно можно выполнить и другие процедуры, такие как установка стентов или введение препаратов;
- проводится в амбулаторных условиях или с коротким сроком пребывания в больнице, это может снизить затраты на лечение и время пребывания пациента в больнице.
ТУР мочевого пузыря является одним из наиболее распространенных методов лечения различных заболеваний мочевого пузыря, включая рак. И в нашей клинике у врачей большой опыт работы с необходимым оборудованием, поэтому вы можете доверить нам свое здоровье без опаски. Наши специалисты не просто делают операции, они также изучают современные подходы к лечению, находят инновационные подходы к борьбе с раком.
Реальный кейс: удаление опухоли больному в нашей клинике
Больной Б., 56 лет.
Диагноз: Опухоль мочевого пузыря.
Клинические проявления заболевания: примесь крови в моче с бесформенными сгустками.
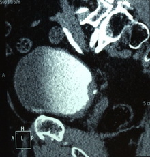
Из анамнеза: с 2013 года периодически отмечает примесь крови в моче с бесформенными сгустками. По месту жительства, при УЗИ выявлено образование мочевого пузыря в области правого устья размером 30*9мм. Выполнена компьютерная томография органов брюшной полости и малого таза, по данным которой образование подтвердилось. Пациент был направлен в клинику урологии Первого МГМУ им. И.М. Сеченова. Госпитализирован для дообследования и определения дальнейшей тактики лечения.

Рис. №1. УЗИ мочевого пузыря.
|
|
Рис. №2. Мультиспиральная компьютерная томография органов мочевой системы с контрастированием.
Пациенту выполнена трансуретральная электрорезекция стенки мочевого пузыря с опухолью и дренирование ВМП катетером-стентом.
Гистологическое заключение: в препаратах картина папиллярного умереннодифференцированного уротелиального рака, прорастающего собственную пластинку слизистой оболочки. Через 3 дня мочеиспускание восстановлено, уретральный катетер удален, пациент выписан. Рекомендовано местная внутрипузырная химиотерапия Митомицином С (40мг) по месту жительства.
Через 1.5 месяц пациент вновь госпитализирован. Катетер-стент удален и выполнена контрольная фотодинамическая цистоскопия, биопсия мочевого пузыря.
Гистологическое заключение: в препаратах картина массивного некроза. Опухоль не найдена. Рекомендовано продолжать местную внутрипузырную химиотерапию Митомицином С (40мг) по схеме.
Восстановление после ТУР
Восстановление после трансуретральной резекции (ТУР) мочевого пузыря обычно зависит от многих факторов, включая состояние здоровья пациента, размеры опухоли, наличие осложнений и индивидуальные особенности. В первые дни после ТУР пациент может испытывать дискомфорт, например, чувство раздражения или жжения при мочеиспускании, небольшие боли в области мочевого пузыря или уретры. Пациентам могут рекомендовать избегать тяжелых физических нагрузок и поднимать только легкие предметы в первые несколько дней или недель после ТУР, чтобы избежать увеличения давления в области мочевого пузыря.
Врач может назначить противовоспалительные или обезболивающие препараты для снятия дискомфорта и уменьшения воспаления в первые дни. Как правило, через несколько недель после операции весь дискомфорт проходит. Пациенту обычно назначают регулярные контрольные осмотры уролога для оценки состояния, а также для обнаружения возможных осложнений.
Приглашаем на лечение к опытным врачам нашей клиники
Клиника урологии имени Р. М. Фронштейна Первого Московского Государственного Медицинского Университета имени И.М. Сеченова — это государственное учреждение, где можно получить квалифицированную помощь от лучших врачей страны. Наша клиника предлагает малоинвазивные процедуры, в том числе ТУР и различные варианты микрохирургии, например, удаление камней в почках через прокол. Мы всегда выбираем такой способ лечения, который нанесет минимум вреда пациенту, но при этом будет эффективен при борьбе с болезнью.
Кроме того, в нашей клинике уделяется особое внимание комфорту пациентов, начиная от первичной консультации и заканчивая послеоперационным периодом, что делает процесс лечения максимально приятным и безопасным. Мы предлагаем индивидуальный подход к каждому пациенту, учитываем его особенности и потребности.
Хотите попасть на консультацию? Позвоните нам и запишитесь на прием. В будни вы сможете посетить врача в день записи, в выходные рекомендуем приезжать по предварительному согласованию. Звоните, мы сделаем все, чтобы вы и ваши близкие снова были здоровы!


