Клиника урологии имени Р. М. Фронштейна Первого Московского Государственного Медицинского Университета имени И.М. Сеченова проводит лапароскопические операции по удалению опухоли почки. Эта операция помогает диагностировать и удалить опухоль, сохранив здоровые ткани почки. Чаще всего после лапароскопии функции органа полностью восстанавливаются, даже если было удалено достаточно много пораженных тканей. Почка может выполнять свои функции, что важно, если вторая также поражена или была удалена ранее.
Лапароскопия для удаления опухоли на почке
Лапароскопическая нефрэктомия — это малоинвазивная операция по удалению части тканей почки. Она проводится через несколько небольших разрезов в брюшной полости, а не через один большой разрез, как при традиционной открытой операции. Эти надрезы обычно составляют от 0,5 до 1 см. В результате здоровые ткани практически не травмируются, а это означает быстрое восстановление после хирургического вмешательства. Кроме того, на теле остается не крупный шрам, а сравнительно небольшой.
Стоит отметить, что при раке почки лечение с помощью лапароскопии рассматривают одним из первых. До разработки этого метода при обнаружении рака почку удаляли целиком. Но сейчас технологии позволяют обнаружить почечно-клеточный рак на самой начальной стадии, когда орган еще не поражен полностью. Лапароскопия позволяет гарантированно удалять опухоли на почке, которые еще не достигли 4 см. В сложных случаях, когда опухоль уже большая, все зависит от наличия современного оборудования и профессионализма врача.
У врачей клиники урологии имени Р. М. Фронштейна Первого Московского Государственного Медицинского Университета имени И.М. Сеченова большой опыт удаления опухолей почек методом лапароскопии. Наши специалисты могут справиться с ситуациями, когда диагностировано злокачественное образование более 4 см или оно неудобно расположено. Сложные операции требуют большей подготовки и всестороннего изучения опухоли, но у нас есть все ресурсы, чтобы обеспечить вам или вашему близкому полное удаление новообразования.
Преимущества лапароскопии как метода борьбы с опухолью
Удаление опухоли почки с помощью лапароскопии имеет следующие преимущества по сравнению с другими методами борьбы с раковыми образованиями:
- максимально сохраняются здоровые ткани, что позволяет органу полностью восстановить функциональность со временем;
- отсутствуют абсолютные противопоказания для операции. Лапароскопия невозможна, если пациент не может перенести наркоз, например, у него тяжелое сердечно-сосудистое заболевание или другая патология в стадии декомпенсации. Но нынешний уровень медицины позволяет стабилизировать состояние большинства пациентов до уровня, когда лечение рака уже можно проводить;
- минимальный риск осложнений во время операции;
- отсутствует риск повреждения крупных сосудов, поэтому снижается вероятность кровотечения, сосуды могут быть задеты только в случае неудобного расположения опухоли;
- быстрая реабилитация после операции, возможность возвращения к полноценной жизни;
- максимальный эффект от процедуры — результативность хорошо сделанной лапароскопической операции равна полному удалению почки.
Частичное удаление тканей — это полноценное лечение рака, которое позволяет избавиться от всех пораженных клеток. При этом резекция опухоли более безопасна в отдаленной перспективе, ведь она сохраняет почку. Кроме того, сокращается необходимое время для реабилитации. Большинство людей полностью восстанавливаются после лапароскопической нефрэктомии через 4-6 недель.
Осложнения лапароскопической нефрэктомии встречаются редко. Большинство людей, перенесших эту операцию, хорошо переносят ее и быстро выздоравливают.
Удаление опухоли — единственный действенный метод борьбы с раком
Многие болезни почек сегодня можно вылечить консервативными методами, но не рак. Хирургическое вмешательство остается основным и наиболее эффективным методом лечения рака в начальных стадиях и только оно используется для предотвращения распространения раковых клеток в организме.
Лапароскопический метод позволяет достичь высокой степени точности в удалении опухоли и минимизировать риск повреждения окружающих тканей, что особенно важно для сохранения функций почки и предотвращения рецидива рака. Именно поэтому в нашей клинике выбирают именно эту методику.
Реальный кейс: лапароскопическое удаление опухоли почки у пациента 70 лет
Больная В., 70 лет.
Диагноз: опухоль левой почки T3aN0M0. Киста левой почки.
Клинические проявления заболевания: отсутствуют
Из анамнеза: по месту жительства при УЗИ органов мочеполовой системы заподозрено образование левой почки. Консультирована в клинике урологии Первого МГМУ им. И.М. Сеченова, при УЗИ и МСКТ органов брюшной полости наличие образования в нижнем сегменте левой почки подтверждено. Госпитализирована в онко-урологическое отделение в плановом порядке для выполнения оперативного пособия.

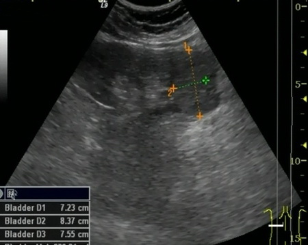
Рис. №1. УЗИ левой почки. Опухоль нижнего сегмента левой почки до 5 см.
|
|
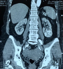
Рис. №2. Мультиспиральная компьютерная томография органов мочевой системы с контрастированием. Опухоль нижнего сегмента левой почки до 5 см, активно накапливающая контрастное вещество.
Пациентке выполнена лапароскопическая резекция левой почки.
|
|
Рис. №3. Макропрепарат. Опухоль после удаления и на разрезе.
На первые сутки после операции страховой дренаж удален. На 5-е сутки швы удалены и пациентка выписана домой.
Гистологическое заключение: почечно-клеточный рак, светлоклеточный вариант.
В настоящее время самым эффективным методом лечения рака почки является лапароскопическая резекция почки с опухолью.
Преимущества лапароскопических операций по сравнению с традиционными открытыми операциями:
- Отсутствие боли в послеоперационном периоде и риска послеоперационных осложнений
- Короткие сроки госпитализации больного и сроков восстановления пациента
- 0,5-1 см рубцы после операции (после открытых операций 25-35 см)
- Лучшая визуализация во время операции, что позволяет хирургу лучше визуализировать края опухоли и удалить её полностью.
Лапароскопическое удаление опухоли на почке представляет собой современный и эффективный метод борьбы с раком, который обеспечивает оптимальные результаты лечения и повышает шансы на выздоровление пациентов. Это относительно безопасная процедура, не раз доказавшая свою эффективность. Хотите получить консультацию опытного врача или записаться на операцию в нашу клинику? Звоните, сотрудники регистратуры рады вам помочь!


