Камни в почках нередко вызывают множество неудобств. Они становятся причиной боли, дискомфорта, неприятных ощущений. Клиника урологии имени Р. М. Фронштейна Первого Московского Государственного Медицинского Университета имени И.М. Сеченова приглашает вас к опытному врачу, который избавит от боли. Гагик Нерсесович Акопян проведет чрескожную нефролитотрипсию и полностью удалит камни в почках!
Что такое чрескожная нефролитотрипсия и ее особенности
Чрескожная перкутанная нефролитотрипсия — это процедура, хирургическое вмешательство. Операция применяется для удаления камней из почек и проводится с помощью специальных инструментов, вводимых через маленькие разрезы в коже. Перед назначением операции пациент обычно проходит подготовку, включая анализы крови и беседу о процедуре. В некоторых случаях может потребоваться обследование с помощью рентгеновских или ультразвуковых методов.
Операция делается под местной или общей анестезией, решение о способе обезболивания принимает врач на основе состояния пациента. Чаще всего чрескожная нефролитотрипсия проводится под общим наркозом, но в редких случаях, если это создает риск для здоровья пациента, возможно местное обезболивание.
После подготовки пациента врач делает небольшой разрез в коже и вводит специальные инструменты через него. Они необходимы, чтобы исследовать орган и разрушить сформировавшийся камень на мелкие частицы, которые могут быть легко удалены из почки. Конкременты удаляются из почки с помощью специальных захватных инструментов или путем промывания почечных канальцев. После окончания процедуры инструменты удаляются, и небольшие разрезы в коже обычно закрываются при помощи швов.
Показаниями для того, чтобы была назначена чрескожная перкутанная нефролитотрипсия, называют:
- крупные камни в почках, которые нельзя удалить другими методами, в том числе, коралловидные камни;
- другие методы лечения недоступны или неприменимы из-за анатомических особенностей почек или иных факторов;
- множественные камни в почках, в том числе, появление камней в обоих органах;
- образование обструкции.
Если говорить о противопоказаниях для чрескожной нефролитотрипсии, то метод нельзя применять при наличии осложнений, например, сужения на фоне нефроптоза, при добавочной почечной артерии, значительной по длине стриктуре выводного протока. Также противопоказания могут быть условными, связанными с физиологическими особенностями пациента и его состояниями (например, коралловидные камни с помощью нефролитотрипсии не удаляют беременным, так как может возникнуть риск для плода).
Сколько стоит операция в нашей клинике
Стоимость черскожной нефролитотрипсии зависит от особенностей операции — ее сложности, необходимости дополнительных исследований или процедур. Но в большинстве случаев нашим пациентам не приходится беспокоиться о деньгах, ведь мы работаем по ОМС и являемся государственной клиникой. Это значит, что, обращаясь к нам, вы получаете высококлассное обслуживание полностью бесплатно.
Хотите узнать, можно ли получить бесплатную услугу в вашем случае? Приходите на консультацию в клинику урологии имени Р. М. Фронштейна Первого Московского Государственного Медицинского Университета имени И.М. Сеченова. Если врач после диагностики найдет показания для операции, мы проведем ее по ОМС.
Реальный кейс: чрескожная нефролитотрипсия пациентке 28 лет при коралловидном камне
Операция: Чрескожная нефролитотрипсия.
Хирург: доктор медицинских наук Акопян Г.Н.
|
|
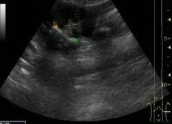
Рис. Ультразвуковое исследование.
|
|
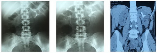
Рис. Обзорная рентгенография и мультиспиральная компьютерная томография.

|
|
|
|
Рис. Рентгенологические этапы операции.
Видео. Операция: Чрескожная нефролитотрипсия. Хирург: доктор медицинских наук Акопян Г.Н.
Приходите удалять камни в почках в нашу клинику
Клиника урологии имени Р. М. Фронштейна Первого Московского Государственного Медицинского Университета имени И.М. Сеченова предлагает методы лечения, направленные на эффективное удаление камней в почках, минимизируя риски для вашего здоровья. Наши преимущества:
- Опытные специалисты — главное богатство клиники. Наши врачи обладают обширной практикой и высокой квалификацией в области лечения заболеваний почек.
- Современное оборудование. Клиника оснащена передовым медицинским оборудованием, что позволяет проводить точную диагностику и эффективное лечение почечных заболеваний, включая удаление камней в почках.
- Хорошие условия для пациентов. Мы стремимся создать комфортные условия для наших пациентов и обеспечить им заботливое отношение на протяжении всего лечения.
- Помощь в реабилитации. Врачи клинки не только лечат симптомы, но и работают над предотвращением повторного проявления заболевания и поддержанием общего здоровья наших пациентов. Даем рекомендации по изменению образа жизни, подбираем медикаментозную терапию и многое другое.
Хотите избавиться от проблем с почками? Ждем вас в нашей клинике! Позвоните нам для записи по телефону или воспользуйтесь инструкцией по работе с электронной формой на сайте. Мы всегда рады помочь и ответить на все вопросы.


