Лапароскопическая нефрэктомия — это хирургическая процедура, направленная на удаление опухолей или пораженных тканей из почки с использованием лапароскопической техники. Этот метод стал в последние годы часто использоваться, так как в сравнении с традиционной открытой нефрэктомией он более безопасен и надежен. Клиника урологии имени Р. М. Фронштейна Первого Московского Государственного Медицинского Университета имени И.М. Сеченова предлагает вам проведение лапароскопической нефрэктомии почки, если она необходима по показаниям. Мы предпочитаем методы, сохраняющие большую часть органа, но, если это невозможно, проводим полное удаление почки.
Особенности нефрэктомии — принципы, показания
Процедура лапароскопической нефрэктомии выполняется с использованием небольших надрезов в брюшной стенке. Хирург вводит инструмент с камерой через эти надрезы, что позволяет ему наблюдать внутренние структуры почки на экране и выполнять операцию, делая любые надрезы и удаление тканей с высокой точностью.
Лапароскопическая нефрэктомия обычно рекомендуется в следующих случаях:
- опухоли почечной ткани, включая рак почки;
- поликистоз почек;
- тяжелые случаи каменной болезни;
- травмы почек.
В нашей клинике мы стараемся сохранить ткани, если это возможно. Однако в некоторых случаях удаление почки при раке — единственное правильное решение, которое позволяет пациенту вести нормальную жизнь.
Важно! Почки — это парный орган, поэтому нефрэктомия часто почти не влияет на нормальную жизнь пациента. Удаление левой почки ведет к тому, что всю нагрузку на себя принимает правая почка. При нормальном питании она полностью выполняет свою задачу по выводу из организма лишней жидкости.
Преимущества лапароскопической нефрэктомии
Нефрэктомия почки лапароскопическим методом — относительно простой и безопасный для пациента способ удаления органа. Перечислим его преимущества:
- минимальная инвазивность. Надрезы, сделанные для введения лапароскопических инструментов, значительно меньше, чем необходимые при традиционной хирургии, что приводит к меньшей травматизации тканей и быстрому заживлению ран;
- сниженные риски осложнений во время операций и при восстановлении. Использование лапароскопических методов снижает вероятность кровопотери во время операции и связанных с ней рисков, таких как инфекции и воспалений. Также малые раны быстрее и проще заживают, не оставляя крупных рубцов;
- быстрый период первичного восстановления. Большинство пациентов, прошедших лапароскопическую нефрэктомию, могут выписаться из больницы в течение нескольких дней после операции. Дальнейшая реабилитация возможна в домашних условиях, достаточно лишь приходить к врачу для наблюдения за тем, как быстро восстанавливаются ткани.
Большинство пациентов, прошедших лапароскопическую нефрэктомию, имеют хорошие прогнозы. Операция эффективно удаляет опухоль или пораженную ткань, что снижает риск рецидива и прогрессирования заболевания.
Удаление почки под наблюдением опытных врачей
Когда дело касается такого серьезного шага, как удаление почки с опухолью, важно обратиться к опытным специалистам, способным обеспечить качественную медицинскую помощь. Клиника урологии имени Р. М. Фронштейна Первого Московского Государственного Медицинского Университета имени И.М. Сеченова гарантирует не только высокий профессионализм врачей, но и применение новейших методов лечения, таких как лапароскопическая нефрэктомия.
Наши врачи — это специалисты с многолетним опытом работы и обширными знаниями в области хирургии почек. Они прошли специальную подготовку и постоянно совершенствуют свои навыки, чтобы обеспечить пациентам лучшее лечение. Врачи нашей клиники имеют богатый опыт в проведении лапароскопической нефрэктомии и используют самые современные методики и оборудование для достижения оптимальных результатов. Их возможности постоянно подтверждаются на практике, потому что мы регулярно проводим подобные операции.
Реальный кейс: лапароскопическая нефрэктомия слева пациентке 56 лет
Пациентка Г., 56 лет, поступила в клинику с диагнозом: опухоль левой почки.
Клинические проявления заболевания: тянущая боль в поясничной области слева.
Краткие данные анамнеза: считает себя больной с июля текущего года, когда при УЗИ органов мочеполовой системы по месту жительства заподозрено образование левой почки. Выполнена МРТ органов брюшной полости с контрастированием, по данным которой диагноз подтвержден. Консультирована в клинике урологии Первого МГМУ им. И.М. Сеченова. Госпитализирована в онко-урологическое отделение в плановом порядке для выполнения оперативного пособия.
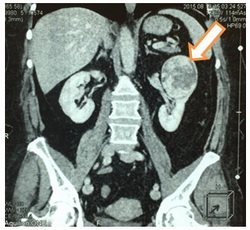
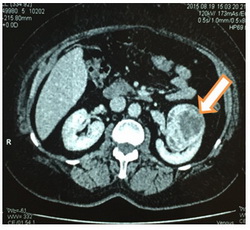
Результаты визуализирующих методов обследования.
При УЗИ: левая почка с четкими, неровными контурами размерами 12,0х5,0см. Паренхима однородная, толщиной до 1,6см. Дилатации чашечно-лоханочной системы нет. В верхнем и среднем сегментах определяется объемное образование неправильной формы неоднородной структуры размерами до 6 см.
При МРТ органов брюшной полости и забрюшинного пространства: в верхнем и среднем сегментах определяется объемное образование неправильной формы неоднородной структуры размерами 6,8х6,2х5,7см., активно накапливающее контрастный препарат.
При МСКТ: в верхнем и среднем сегментах левой почки по передне-латеральной поверхности определяется мягкотканное образование неправильной формы неоднородной структуры размерами 6,9х5,8х6,8см.
|
|
По данным рентгенографии органов грудной клетки: очаговых и инфильтративных изменений не выявлено.
Консультация терапевта: гипертоническая болезнь II ст., 3 ст, риск 3.
31.08.2015г. выполнена операция: лапароскопическая нефрэктомия слева.
Послеоперационный период протекал без осложнений. На 4 сутки пациентка выписана из клиники в удовлетворительном состоянии.
Гистологическое заключение: почечно-клеточный рак.
Как попасть к нам на прием?
Клиника урологии имени Р. М. Фронштейна Первого Московского Государственного Медицинского Университета имени И.М. Сеченова — государственное учреждение, поэтому лечиться у нас можно по ОМС. Для посещения врача просто позвоните, чтобы в регистратуре направили вас на прием. В будние дни обычно можно попасть к врачу в день звонка, но, если вы хотите назначить визит на определенное время, позвоните заранее. Мы всегда рады помочь и ответить на вопросы.
Доверьте свое здоровье опытным специалистам. Обратитесь в нашу государственную клинику и получите качественное лечение под наблюдением лучших врачей с применением новейших методов лечения. Ваше здоровье — наша главная забота.


