Клиника урологии имени Р. М. Фронштейна Первого Московского Государственного Медицинского Университета имени И.М. Сеченова — это государственное учреждение. Мы занимаемся профессиональным лечением заболеваний мочеполовой системы и мужчин и женщин. Специализируемся на проведении операций и послеоперационном восстановлении. Наш врач — Гагик Нерсесович Акопян — доктор наук, изучающий урологию, онкологию, разрабатывающий новые подходы к лечению заболеваний в этой сфере. Если вам нужна помощь или назначена ТУР при раке мочевого пузыря, звоните +7 (499) 409-12-45 !
ТУР или трансуретральная резекция — что это?
ТУР — это разновидность операции по удалению аденомы простаты, опухоли или другого образования с помощью специального оборудования. Расшифровывается сокращение как «трансуретральная резекция» и может проводиться на разных органах, например, на стенке мочевого пузыря. Особенность ТУР в том, что операция проводится с помощью специального оборудования, которое называется резектоскоп. Это прибор, который вводится в уретру пациента и достигает внутренних органов.
ТУР при аденоме предстательной железы у мужчин или в качестве оперативного лечения опухолей — один из самых современных и безопасных для здоровья методов хирургического вмешательства. Дело в том, что это щадящий, малоинвазивный способ удаления злокачественных образований, не требующий разрезов или даже проколов. Обычно трансуретральная резекция предстательной железы проходит вообще без дополнительных повреждений: все действия производятся через естественные отверстия. Без дискомфорта не обойтись, но он не сравним с теми проблемами, с которыми сталкивается человек, переживший классическую полостную операцию.
Как проходит ТУР опухоли мочевого пузыря — общее описание технологии на примере
Как уже упоминалось, операция ТУР мочевого пузыря проводится с помощью резектоскопа. Он вводится в уретру и позволяет визуализировать внутренние органы с помощью встроенной камеры. Благодаря наличию видео врач может подтвердить поставленный ранее диагноз.
Важно! По стандартам операция ТУР мочевого пузыря у мужчин и женщин назначается, только если диагноз уже поставлен и диагностировано наличие злокачественной опухоли. Подобное вмешательство не назначают в диагностических целях. Однако подтвердить диагноз перед тем как удалять часть органа — необходимо. Поэтому врач сначала осматривает мочевой пузырь, а потом проводит операцию.
Когда наличие опухоли подтверждено, проводится ее удаление со стенки мочевого пузыря с помощью трансуретральной резекции. На резектоскопе установлена специальная петля, которая захватывает поврежденные ткани и убирает опухоль вместе с основанием. Учитывая специфику формирования раковых образований на мочевом пузыре, подобная операция может помочь полностью устранить заболевание.
После операции опухоль обязательно отправляется на анализ, который позволяет определить, с каким именно типом рака столкнулся пациент и есть ли риск рецидива. В некоторых случаях сразу после операции через резектоскоп в полость мочевого пузыря вводятся препараты, предотвращающие рост новых опухолей.
В этом разделе описана операция по удалению опухоли мочевого пузыря. Но ТУ может использоваться и для других целей, например, нередко проводится трансуретральная резекция аденомы простаты. Общий подход к лечению похож, отличаются лишь некоторые специфические особенности операции.
Реальный кейс: операция трансуретральная резекция мочевого пузыря у больного 66 лет
Больной Ч, 66 лет.
Диагноз: опухоль мочевого пузыря T1NoMx. Гиперплазия простаты I ст.
Клинические проявления заболевания: периодически возникающая примесь крови в моче со сгустками, затрудненное учащенное мочеиспускание ночью до 3 раз.
Из анамнеза: в июле 2014 года после физической нагрузки отметил появление крови в моче с бесформенными сгустками. В поликлинике по месту жительства при ультразвуковом исследовании выявлена аденома предстательной железы. Консультирован в клинике урологии УКБ№2 Первого МГМУ им. И.М. Сеченова, при УЗИ заподозрена опухоль мочевого пузыря. Выполнена МРТ органов малого таза, по данным которой по левой боковой стенке мочевого пузыря определяется экзофитное образование размерами 0,9х0,8х0,7мм. Также выявлена аденома предстательной железы. Госпитализирован в плановом порядке для оперативного лечения
.
|
|
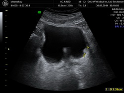
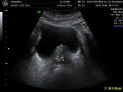
Рис№1. УЗИ мочевого пузыря и предстательной железы.
|
|
Рис№2 Магнитно резонансная томография органов малого таза
Пациенту выполнена трансуретральная электрорезекция стенки мочевого пузыря и трансуретральная электрорезекция гиперплазии простаты одномоментно. Длительность операции 80 минут.
Видео. Трансуретральная электрорезекция стенки мочевого пузыря и трансуретральная электрорезекция гиперплазии простаты.
Гистологическое заключение опухоли мочевого пузыря: в препаратах картина папиллярного высокодифференцированного уротелиального рака, прорастающего собственную пластинку слизистой оболочки.
Через 3 дня мочеиспускание восстановлено, уретральный катетер удален, пациент выписан. Проводилась внутрипузырная химиотерапия Митомицином С 40мг - №6, 1 раз в неделю и №6 1 раз в месяц.
Почему ТУР? Преимущества технологии
Очень многие пациенты предпочитают трансуретральную резекцию аденомы предстательной железы другим вариантам лечения. То же самое касается и удаления опухолей мочевого пузыря у мужчин — ТУР назначают часто. Это не случайность, технология обладает следующими плюсами:
- помогает удалить опухоль полностью с минимальными повреждениями;
- дает врачу возможность получить полную информацию о состоянии органа;
- позволяет провести сразу несколько операций: удаление новообразований, дополнительную диагностику, введение лекарственных препаратов;
- не требует разрезов, проколов, наложения швов и долгого восстановления;
- дает возможность бороться с раком на ранней стадии, что позволяет сохранить орган и минимизировать риск повторного появления опухоли.
В нашей клинике трансуретральная резекция простаты и опухоли стенок мочевого пузыря проводится регулярно. Специалисты и врачи обладают большим опытом, который позволяет справиться даже со сложными случаями. Если вам нужна консультация, обращайтесь к нам. Клиника урологии имени Р. М. Фронштейна Первого Московского Государственного Медицинского Университета имени И.М. Сеченова готова принять вас в день звонка!


